|
歯茎の型を精密にとりますステップ①入れ歯は歯ぐきに触れて安定しているものです。なのでまずはその歯ぐきとの適合を合わせるために精密な型をとらせていただきます。 |
咬み合わせの高さの確認ステップ②その後入れ歯の咬みあわせの高さは患者様ごとに微妙に違いますのでそこを以前使っていた入れ歯などをもとに決めていきます。咬みあわせの高さが高すぎても低すぎても上手にお食事はとることができなくなるため患者様の意見も聞かせいただきます。 |
仮に歯を並べて最終チェックステップ③咬みあわせの高さも決まったのでそれをもとに上下の歯を並べて一度患者様に見ていただきます。高さ、見た目、頬の膨らみなどを確認していただき大丈夫そうなら次回完成となります。 |
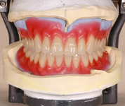
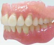
入れ歯の完成、最終調整ステップ④前回の歯並びでそのまま完成させます。できあがった入れ歯を装着してみてきつい、緩い、痛いなどといったところを微調整させていただきます。新しい入れ歯は慣れていないため痛みがでたりすることもありますので我慢せず言っていただければ調整し咬んでも痛くない状態で帰っていただけるようにしていきます。 |


TOP




