|
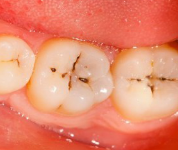
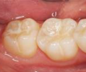
Drによるむし歯のチェック被せ物の際までしっかりと治療が終了している被せ物でも長い年月そのままにしておけばむし歯になっていくこともあります。それをなるべく早くチェックし、再治療を開始します。そのままにしておくと痛みがでてしまったころにはもう歯を抜かないといけないということにもなりかねません。なるべくご自身の歯は残していきましょう。 |
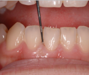
衛生士による歯ぐきの検査、クリーニング歯周病の進行がないかを再度チェック歯周病が安定した状態で一度治療が終了したあとでも患者様自身のブラッシングが不十分だと歯周病が再度進行する場合があります。歯周病はむし歯と違い進行しすぎると歯が抜けてしまったりする病気なので定期健診で歯茎の状態のチェックは必須です。そして担当の衛生士によりクリーニングと歯ブラシの方法のチェックをしていきます。 |
気になる箇所の早めの治療開始痛くなる前に処置をしていきます入れ歯やむし歯のチェックをさせていただいたら、その状態をしっかり説明させていただいてその後治療の方法などを一緒に決めていきましょう。治療は早い方が良いと思いますが、まずはお口の中の状態を良好に保っていくという意識がとても重要です。 |
お子さんには歯ブラシ指導と食生活のチェック必要に応じてシーラント(予防処置)も行いますお子さんのお口の中は成人と違い生え変わりもあり、食生活、ブラッシングなどかなりいろんな因子がかかわってきます。なので3ヶ月おきにお口の中のチェックをさせていただきむし歯があれば早めに治療していきましょう。また間食の取り方や仕上げ磨きの時期などは小学低学年くらいまではとても大事なことですのでお気軽にご相談ください。 |


TOP




