|
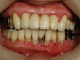
 歯周病は日本人の8割がかかっているといわれている口腔内の病気です。 治療をせずそのままにしておくと歯を抜かなければいけないような状態に陥ります。 その前にこちらをご覧ください。
歯周病の治療 |
 入れ歯(義歯)とは歯を喪失した部分を補い生活の回復を助けるものです。 入れ歯を入れず少ない歯で食事をしていると残存している歯にも影響を与え全身の状態に悪影響をあたえることもあります。
入れ歯の治療 |
 むし歯は最も知られている歯科疾患といえるかもしれません。しかしこの治療をしっかりすることにより歯を残すことができ、インプラントなどの高額な治療をせずにでもご自身の歯でおいしい食事をすることができるのです。
むし歯の治療(保存治療) |
 歯科医院にも定期健診はあります。医科の健康診断と一緒でご自身では痛みもないので大丈夫だと思われていることが多いですが、お口の中をチェックして痛みがでる前に治療をおススメさせてもらってます。
定期健診 |